Dispositivo foi testado em 17 hospitais europeus e devolveu visão central a pacientes idosos com degeneração macular
Foto: Divulgação/Science Corporation
Pela primeira vez, cientistas conseguiram restaurar a visão central de pessoas com perda de visão causada por degeneração macular irreversível, uma das principais causas de cegueira em idosos.
O feito foi obtido por meio de um implante de retina baseado em um chip minúsculo, chamado sistema PRIMA, testado em 17 hospitais de cinco países europeus. Detalhes da descoberta foram descritos em um estudo publicado no New England Journal of Medicine.
O trabalho foi liderado pelos oftalmologistas José-Alain Sahel, da Universidade de Pittsburgh; Daniel Palanker, da Universidade de Stanford; e Frank Holz, da Universidade de Bonn, na Alemanha.
Resultados inéditos
O sistema foi testado em 38 pacientes, e 32 completaram 12 meses de acompanhamento. Destes, 26 apresentaram melhora clinicamente significativa na acuidade visual e 27 relataram usar o dispositivo em casa para ler números e palavras.
Em média, os participantes conseguiram identificar 25 letras a mais em uma tabela oftalmológica – cerca de cinco linhas.
“É a primeira vez que uma tentativa de restauração da visão alcança resultados tão expressivos em um grande número de pacientes”, afirmou Sahel. “Mais de 80% conseguiram ler letras e palavras, e alguns chegaram a ler páginas de um livro”.
Dos 32 pacientes acompanhados, 19 apresentaram efeitos adversos leves, todos já conhecidos em cirurgias oculares e resolvidos rapidamente. A visão periférica permaneceu preservada em todos os casos.
Como o chip funciona
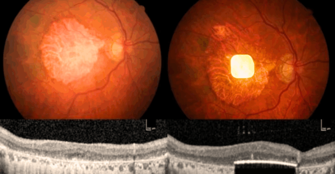
O PRIMA é composto por duas partes. A primeira é o implante, um sensor de silício sem fio de 2 milímetros por 2 milímetros (mais fino que um fio de cabelo), com 378 pixels fotovoltaicos. Ele é colocado atrás da retina, substituindo células danificadas pela degeneração.
A segunda parte é um par de óculos especiais conectado a um processador de bolso. A câmera dos óculos captura imagens e as transforma em luz infravermelha próxima (invisível ao olho humano), projetando-as no implante. O chip converte essa luz em sinais elétricos, que estimulam as células remanescentes da retina e enviam as informações ao cérebro, simulando o funcionamento natural da visão.
Como o implante é alimentado pela própria luz, ele não precisa de bateria ou fonte de energia externa. Os pacientes podem ainda ajustar o zoom e o contraste para melhorar a leitura de textos ou reconhecer objetos.
Pacientes
Os participantes tinham em média 79 anos e sofriam de atrofia geográfica, estágio avançado da degeneração macular relacionada à idade (DMRI). Antes do início dos testes, todos estavam com a visão central praticamente perdida.
Durante o tratamento, eles passaram por um período de treinamento para reaprender a interpretar os estímulos visuais gerados pelo chip. Alguns conseguiram atingir uma visão próxima de 20/420, o limite de resolução do sistema.
Uma das pacientes, Sheila Irvine, tratada no Moorfields Eye Hospital, no Reino Unido, contou que voltou a enxergar letras. “Antes do implante, eu via dois discos pretos. Sou uma leitora voraz e queria isso de volta. Foi emocionante enxergar uma letra novamente”, disse.
Próximos passos
Atualmente, o sistema PRIMA funciona apenas em preto e branco, mas os pesquisadores trabalham em uma versão com tons de cinza e maior resolução.
“O principal pedido dos pacientes é conseguir reconhecer rostos e emoções novamente”, disse Palanker. “A próxima geração do chip trará pixels menores e óculos mais leves”, acrescentou.
Com base nos resultados, a fabricante do dispositivo, Science Corporation, já pediu autorização para uso clínico na Europa.
Em comunicado, a Universidade de Pittsburgh ponderou que o implante não deve restaurar a visão perfeita, mas pode devolver autonomia e qualidade de vida a pessoas com cegueira central – um avanço que há poucos anos era considerado impossível.
